Non sottovalutare il mal di schiena: può essere sintomo di questo raro tumore-okmugello.it © N. c.
Il mieloma multiplo (MM) rappresenta una sfida significativa nel campo dell'ematologia, essendo un tumore maligno che interessa le plasmacellule del midollo osseo, cellule fondamentali per il sistema immunitario. L'ematologo Giovanni Tonon, direttore del Centro per le Scienze Omiche presso l'Istituto San Raffaele, sottolinea come la ricerca stia facendo progressi importanti nella comprensione e nel trattamento di questa patologia.
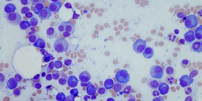
Il mieloma multiplo è una neoplasia plasmacellulare caratterizzata dalla proliferazione incontrollata di un clone di plasmacellule maligne nel midollo osseo, con produzione eccessiva di un unico tipo di anticorpo monoclonale (componente monoclonale, CM). Questa produzione anomala porta all'accumulo di immunoglobuline nel sangue e nei tessuti, con conseguenze che includono danni ossei, insufficienza renale e alterazioni nella produzione delle cellule del sangue.
In Italia, il mieloma multiplo rappresenta circa l’1,6% dei tumori diagnosticati negli uomini e l’1,5% in quelli delle donne. Si tratta di una malattia più comune negli anziani, con il 38% delle diagnosi che riguarda persone sopra i 70 anni. Ogni anno si stimano circa 5.700 nuovi casi nel nostro Paese, con una maggiore incidenza negli uomini (11,1 nuovi casi ogni 100.000 uomini contro 7,7 ogni 100.000 donne).
Fattori di rischio e patogenesi molecolare
Le cause specifiche del mieloma multiplo non sono ancora completamente note, ma sono stati identificati diversi fattori di rischio associati all’insorgenza della malattia. Tra questi, l’esposizione a radiazioni ionizzanti, alcune sostanze chimiche come pesticidi, solventi a base di benzene e toluene, e una familiarità genetica significativa. Anche condizioni di iperattivazione del sistema immunitario, come infezioni croniche e malattie autoimmuni, possono contribuire al rischio.

Dal punto di vista molecolare, le analisi citogenetiche hanno evidenziato un’alta frequenza di alterazioni genetiche nel mieloma multiplo, come traslocazioni cromosomiche a carico del locus IgH (14q32) e mutazioni attivanti di oncogeni come Ras e Bcl-2. Queste modifiche genetiche influenzano la crescita incontrollata delle plasmacellule tumorali e la loro resistenza all’apoptosi, complicando il decorso clinico della malattia.
La diagnosi di mieloma multiplo si basa su un insieme di esami ematochimici, istologici e radiologici. L’esame fondamentale è la biopsia del midollo osseo, che permette di valutare la percentuale di plasmacellule tumorali. L’elettroforesi delle proteine nel sangue e nelle urine rileva la presenza di un picco monoclonale di gammaglobuline, segno tipico della malattia.
I sintomi più diffusi sono rappresentati dal dolore osseo, specialmente a livello della colonna vertebrale, delle anche e delle coste, dovuto alle lesioni osteolitiche causate dall’attivazione eccessiva degli osteoclasti. Altri segni includono anemia, insufficienza renale, ipercalcemia e una riduzione delle difese immunitarie, che predispone a infezioni frequenti.
Per valutare il danno d’organo associato al mieloma, si utilizzano i cosiddetti criteri CRAB (Calcémie elevata, Renal insufficiency, Anemia, Bone lesions), fondamentali per stabilire la gravità della patologia e la necessità di intervenire con terapie specifiche.
Terapie innovative e gestione clinica
Negli ultimi anni, il trattamento del mieloma multiplo è stato rivoluzionato dall’introduzione di nuove classi farmacologiche. Oltre ai tradizionali chemioterapici, come melfalan e prednisone, sono ora disponibili inibitori del proteasoma (bortezomib, carfilzomib), immunomodulatori (thalidomide, lenalidomide, pomalidomide) e anticorpi monoclonali (daratumumab, elotuzumab, isatuximab). Questi farmaci puntano a eliminare le cellule tumorali stimolando il sistema immunitario o bloccandone la proliferazione.
Nei pazienti più giovani, sotto i 70 anni, in buone condizioni generali, viene spesso utilizzato il trapianto autologo di cellule staminali ematopoietiche, una procedura che consente di ripristinare la produzione ematica dopo terapie ad alte dosi. Nei casi selezionati, è possibile ricorrere anche al trapianto allogenico, sebbene questo comporti rischi maggiori di rigetto.
Le terapie di supporto, come l’uso di bifosfonati per proteggere il tessuto osseo e fattori di crescita per stimolare la produzione delle cellule del sangue, sono indispensabili per migliorare la qualità di vita dei pazienti.
Il professor Tonon continua a guidare ricerche avanzate per identificare nuovi bersagli molecolari nel mieloma multiplo e sviluppare terapie sempre più efficaci e personalizzate, con l’obiettivo di trasformare una malattia storicamente difficile da trattare, in una condizione gestibile a lungo termine.


